Wir bauen Brücken in die Zukunft ...

... seit 1669! Gegründet vor über 350 Jahren ist die Universität Innsbruck heute die bedeutendste Forschungs- und Bildungseinrichtung in Westösterreich, mit einer breiten Palette von Studien über alle Fachbereiche hinweg. Im Herzen der Alpen gelegen, bietet sie 28.000 Studierenden und 5.800 Mitarbeiter:innen beste Bedingungen.

Studieren

LFU Master Weeks vom 16. bis 27. März 2026

Bei den Master Weeks gibt es in diversen Onlinesessions gebündelte Informationen zur Bewerbung und Zulassung sowie fachspezifische Einblicke in das vielseitige Masterangebot der Universität Innsbruck.
Sei online dabei, informier dich und klär deine Fragen.

Studienangebot
Die Universität Innsbruck bietet mehr als 160 Studien, die mit praxisnahen Wahlpaketen ergänzt werden können.

Aufnahmeverfahren vor Zulassung
Für ausgewählte Studienrichtungen gelten an der Universität Innsbruck spezielle Aufnahmeregelungen.

10 Gründe für ein Studium an der Uni Innsbruck
Es gibt viele gute Gründe an der Universität Innsbruck zu studieren. Auch Innsbruck hat einiges zu bieten.


Suchergebnisse

Entdecken

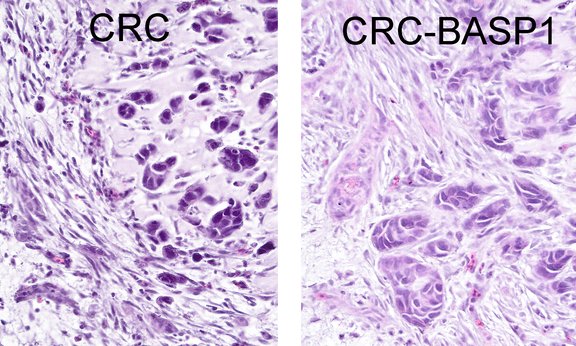
Krebs­for­schung: Gegen­spie­ler von MYC genauer ent­sch­lüs­selt

Der Krebsfaktor MYC steht seit Jahren im Zentrum der Forschungsarbeit von Markus Hartl. Die Arbeitsgruppe um den Biochemiker verfolgt den Ansatz, BASP1 – einen natürlichen Gegenspieler von MYC – in Tumorzellen wieder zu aktivieren. Eine aktuell in den Proceedings of the National Academy of Sciences (PNAS) veröffentlichte Studie zeigt nun, dass dieser Ansatz funktionieren kann.

Frauen in der Wis­sen­schaft: Neues För­der­pro­gramm der Uni Inns­bruck

Das Frauenförderungsprogramm „UIBK-FemCareer-Fellowship“ der Universität Innsbruck unterstützt internationale Jungwissenschaftlerinnen zu Beginn ihrer akademischen Laufbahn. Ziel ist es, den Wissenschaftlerinnen in der frühen Postdoc-Phase eine verlässliche Finanzierung zu bieten und ihnen die Möglichkeit zu geben, ihr Forschungsprofil zu schärfen sowie neue Forschungsprojekte zu initiieren. Sechs Postdoktorandinnen treten im Rahmen des Programms ihre Stelle an der Universität Innsbruck an.

Biodi­ver­si­täts­rat sieht Natur­schutz im Abseits

Der Verlust an Artenvielfalt schreitet angesichts des immer größer werdenden menschlichen Einflusses in immer mehr Lebensbereiche weiter voran. Die österreichische Politik habe zuletzt aber nahezu nichts unternommen, um effektiv gegenzusteuern, erklärten Vertreter:innen des Österreichischen Biodiversitätsrats, unter ihnen Johannes Rüdisser von der Uni Innsbruck, am 2. März 2026 in Wien. Auf dem aktuellen „Barometer“ des Gremiums steht zum ersten Mal keine einzige Ampel auf grün.

Zum Newsroom

Historisches Schwarz-Weiß-Bild

18. Mrz. 

Veranstaltungstipp

Christoph Probst Lecture: Die Bedeutung der Menschenrechte

Die diesjährige Christoph Probst Lecture befasst sich mit der Entwicklung der Menschenrechte weltweit seit dem Ende des 2. Weltkriegs, also während des Kalten Kriegs, in der Aufbruchstimmung der 1990er Jahre und im Kontext der multiplen Krisen und Herausforderungen des 21. Jahrhunderts. Die Lecture versucht auch Parallelen zwischen den 1990er und 2020er Jahren sowie mögliche Gründe für den allmählichen Zerfall jener multilateralen Nachkriegsordnung aufzuzeigen, die ein „Nie wieder“ nach zwei Weltkriegen und dem Holocaust versprochen hatte und in der die Menschenrechte bisher eine entscheidende Rolle gespielt haben. 

Forschen

Alpiner Raum

Wir sammeln Erkenntnisse für die Entwicklung von Lebens- und Naturräumen in Gebirgen weltweit.

Biowissenschaften

Wir treiben biomolekulare und biomedizinische Entwicklungen voran.

Digital Science

Wir treiben die Digitalisierung in der Forschung voran.

Material- und Nanowissenschaften

Wir nutzen die Synergien zwischen Physik, Chemie, Erdwissenschaften, Pharmazie und Technischen Wissenschaften.

Kulturen

Wir stellen uns Fragen zu kulturellen Dynamiken und Transformationen.

Physik

Wir erforschen die Funktionsweise der Natur - von den Elementarteilchen bis zu den Galaxien.

Scientific Computing

Wir tragen zur Lösung komplexer, datenintensiver Probleme aus allen Wissenschaftsbereichen bei.

Wirtschaft, Politik & Gesellschaft

Wir gehen gemeinsam über Fachgrenzen hinweg den großen Fragen der Gesellschaft auf den Grund.

Geschlechterforschung

Wir erforschen, theoretisieren und dekonstruieren Geschlechter und Geschlechterverhältnisse.

Mitgestalten

Viele Menschen haben an der Universität Innsbruck ihre Berufung in Forschung, Lehre oder Verwaltung gefunden. Gestalten auch Sie gemeinsam mit uns die Zukunft und arbeiten Sie in einem internationalen, vielfältigen und familienfreundlichen Arbeitsumfeld. Als Mitarbeiter:in der Universität Innsbruck profitieren Sie außerdem von zahlreichen Benefits, wie beispielsweise:

Lernen Sie Ihre künftigen Kolleg:innen kennen

Zum Karriereportal

Universität

dfgyd

dggfd

Informationen für

Newsletter

... jeden Freitag frisches Wissen aus und von der Universität Innsbruck in Ihrem Postfach. Abonnieren Sie unseren Newsletter #WissenAmFreitag.

Im Fokus

Nach oben scrollen