Research Methods
Research methods used at the research center

EEG-Lab
The EEG laboratory enables us to carry out brain wave measurements on our test subjects in a shielded room. On the one hand, individual EEG measurements can be carried out, and on the other, hyperscanning, the simultaneous recording of two test subjects during direct or indirect interaction, can be performed. We can also measure respiratory rate, skin conductance, heart rate variability, temperature and oxygen saturation.

BIO-Lab
The biological laboratory is located directly in the psychotherapeutic/clinical-psychological research outpatient clinic and enables us to process biological test samples immediately after collection in a first step and store them under refrigeration until further processing.

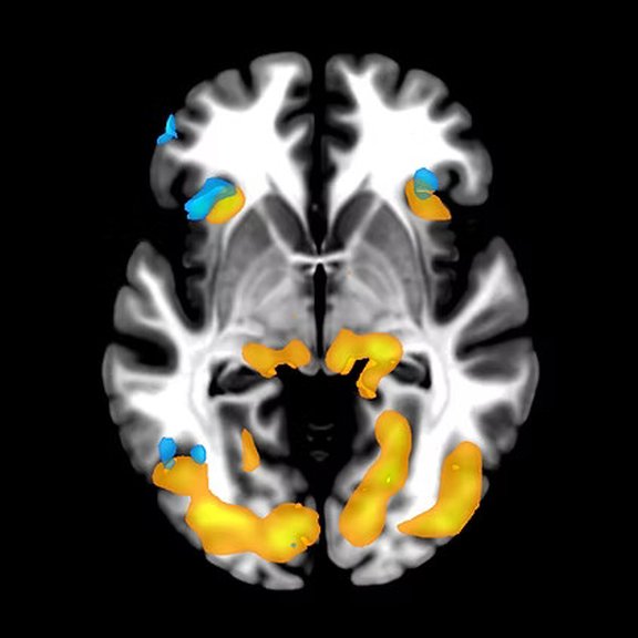
fMRI
Functional magnetic resonance imaging (fMRI) measures brain activity by detecting changes related to blood flow in the brain. This technique is based on the fact that cerebral blood flow and neuronal activation are coupled. When an area of the brain is active, the blood flow in that region also increases. After statistical processing, this region can be highlighted on brain maps.

Eye Tracking
Eye Tracking Hardware
- Tobii TX-300
- Tobii Glasses 2
Eye Tracking Software
- Tobii Studio
- Tobii Pro Lab

Experimental Psychology Lab
Software
- PST E-Prime
- MatLab Psychophysics Toolbox
- Python Psychopy

tVNS
Transcutaneous vagus nerve stimulation (tVNS) is a newly developed method designed to overcome the disadvantage of surgical implantation of the stimulation device. With the tVNS device, the auricular branch of the vagus nerve is stimulated via a bipolar electrode that is attached to the skin of the left auricle.
Hamer, H. M., & Bauer, S. (2019). Lessons learned from transcutaneous vagus nerve stimulation (tVNS). Epilepsy research, 153, 83-84.

Biofeedback (NeXus-10 MKII)
Biofeedback devices are used both in competitive sports and in training therapy. With these devices, physical processes that normally take place unconsciously can be made accessible and visible to our consciousness. The measured values (e.g. respiratory rate, skin conductance or heart rate variability) allow conclusions to be drawn about the level of arousal or training status, among other things.

Physical activity behavior (acceleration measurement, GENEActiv)
The analysis of physical activity behavior is essential in the area of personal and community health. A sedentary lifestyle and daily exercise routines of varying intensity can affect the physical, mental and social condition of any person. The GENEactiv devices record objectively measured, accelerometer-based data on physical activity behavior, including the time and intensity of each exercise session.

Mobile EEG (Emotiv, EPOC+)
The brain plays an essential role in the processes of experience and behavior. Electroencephalography is an attempt to make the processes in the brain observable by recording the voltage fluctuations on the surface of the head. This portable system with 14 channels provides initial insights.

Reaction time measurements
The measurement of reaction speed is important for questions that deal with elementary speed, fatigue or activation, for example. This test inventory is used to test psychomotor speed and measures the choice reaction time in particular. In contrast to the simple reaction system and the compensatory pursuit task, this test procedure measures choice reaction speed.

Vienne Test System (Wiener Testsystem)
The Vienna Test System is used for various psychological questions and offers a wide range of performance psychology, traffic psychology, developmental psychology, clinical and personality diagnostic test inventories.

Simple reaction time system
The measurement of reaction speed is important for questions that deal with elementary speed, fatigue or activation, for example. This test procedure measures the reaction speed to a peripheral stimulus in addition to an automated activity. The task consists of using the mouse pointer to follow a cursor as accurately as possible, which moves to the left and right at different speeds in a horizontal direction. Stimuli appear randomly at irregular intervals in one of the four corners of the screen. After the stimuli appear, you must react as quickly as possible. Two measured variables are recorded: the average distance of the mouse pointer to the cursor, which represents the accuracy of the automated activity, and the average reaction time as the main parameter for the reaction speed. In contrast to the choice reaction system, this test method measures the individual reaction speed.

Qualitative Interviews
The qualitative interview is one of the most common methods in qualitative research. It explores and generates hypotheses rather than testing them. When using open-ended research questions, (sport-related) sociological and psychological research questions in particular can be evaluated through the eyes of a specific population. Examples include subjective treatment effects of interventions, expert interviews and perspectives, or the development of new research questions that arise through the evaluation of a participant's perspective.

Questionnaires
Examining the individual's interpretation of their own living environment is a cornerstone of sport and exercise psychology. Questionnaires are used for this purpose, which must meet certain quality criteria. Among other things, these instruments can be used to examine motivation for sporting activity, perceived obstacles to exercise, self-perception and the discrepancy between perception and reality.